Periselneris, J;
Brown, JS;
(2019)
A clinical approach to respiratory disease in patients with hematological malignancy, with a focus on respiratory infection.
Medical Mycology
, 57
(3)
S318-S327.
10.1093/mmy/myy138.
Preview |
Text (Article)
Brown_A clinical approach to respiratory disease in patients with hematological malignancy, with a focus on respiratory infection_AAM.pdf - Accepted Version Download (236kB) | Preview |
Preview |
Text (Supplement)
Brown_A clinical approach to respiratory disease in patients with hematological malignancy, with a focus on respiratory infection_Supp.pdf - Accepted Version Download (1MB) | Preview |
Abstract
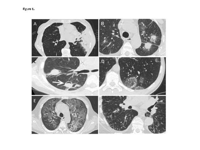
Respiratory complications, in particular infections, are common in the setting of hematological malignancy and after hematopoetic stem cell transplant. The symptoms can be nonspecific; therefore, it can be difficult to identify and treat the cause. However, an understanding of the specific immune defect, clinical parameters such as speed of onset, and radiological findings, allows the logical diagnostic and treatment plan to be made. Radiological findings can include consolidation, nodules, and diffuse changes such as ground glass and tree-in-bud changes. Common infections that induce these symptoms include bacterial pneumonia, invasive fungal disease, Pneumocystis jirovecii and respiratory viruses. These infections must be differentiated from inflammatory complications that often require immune suppressive treatment. The diagnosis can be refined with the aid of investigations such as bronchoscopy, computed tomography (CT) guided lung biopsy, culture, and serological tests. This article gives a schema to approach patients with respiratory symptoms in this patient group; however, in the common scenario of a rapidly deteriorating patient, treatment often has to begin empirically, with the aim to de-escalate treatment subsequently after targeted investigations.
| Type: | Article |
|---|---|
| Title: | A clinical approach to respiratory disease in patients with hematological malignancy, with a focus on respiratory infection |
| Open access status: | An open access version is available from UCL Discovery |
| DOI: | 10.1093/mmy/myy138 |
| Publisher version: | https://doi.org/10.1093/mmy/myy138 |
| Language: | English |
| Additional information: | This version is the author accepted manuscript. For information on re-use, please refer to the publisher’s terms and conditions. |
| Keywords: | respiratory infection, hematological malignancy, invasive mould disease |
| UCL classification: | UCL UCL > Provost and Vice Provost Offices > School of Life and Medical Sciences UCL > Provost and Vice Provost Offices > School of Life and Medical Sciences > Faculty of Medical Sciences UCL > Provost and Vice Provost Offices > School of Life and Medical Sciences > Faculty of Medical Sciences > Div of Medicine UCL > Provost and Vice Provost Offices > School of Life and Medical Sciences > Faculty of Medical Sciences > Div of Medicine > Respiratory Medicine |
| URI: | https://discovery.ucl.ac.uk/id/eprint/10080395 |
Archive Staff Only
![]() |
View Item |

