Banerjee, Gargi;
Collinge, John;
Fox, Nick C;
Lashley, Tammaryn;
Mead, Simon;
Schott, Jonathan M;
Werring, David J;
(2023)
Clinical considerations in early-onset cerebral amyloid angiopathy.
Brain
10.1093/brain/awad193.
(In press).
Preview |
Text
Figure 1.tiff - Supplemental Material Download (4MB) | Preview |
Preview |
Text
Figure 2.tiff - Supplemental Material Download (4MB) | Preview |
Preview |
Text
Figure 3.tiff - Supplemental Material Download (4MB) | Preview |
Preview |
Text
Figure5.tiff - Supplemental Material Download (4MB) | Preview |
Preview |
Text
Figure 4.tiff - Supplemental Material Download (8MB) | Preview |
Preview |
Text
Banerjee_ClinicalConsiderationsEarlyOnsetCAA_Revision3_16042023_CLEAN.pdf Download (603kB) | Preview |
Abstract
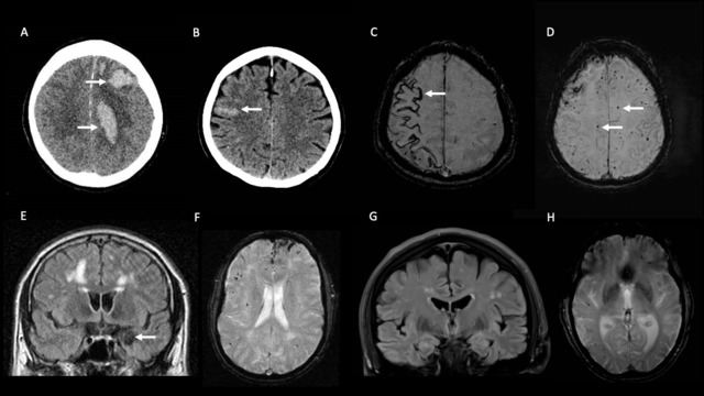
Cerebral amyloid angiopathy (CAA) is an important cerebral small vessel disease associated with brain haemorrhage and cognitive change. The commonest form, sporadic amyloid-beta CAA, usually affects people in mid- to later life. However, early-onset forms, though uncommon, are increasingly recognised and may result from genetic or iatrogenic causes that warrant specific and focussed investigation and management. In this review, we firstly describe the causes of early-onset CAA, including monogenic causes of amyloid-beta CAA (APP missense mutations and copy number variants; mutations of PSEN1 and PSEN2) and non-amyloid-beta CAA (associated with ITM2B, CST3, GSN, PRNP and TTR mutations), and other unusual sporadic and acquired causes including the newly-recognised iatrogenic subtype. We then provide a structured approach for investigating early-onset CAA, and highlight important management considerations. Improving awareness of these unusual forms of CAA amongst healthcare professionals is essential for facilitating their prompt diagnosis, and an understanding of their underlying pathophysiology may have implications for more common, late-onset, forms of the disease.
Archive Staff Only
![]() |
View Item |

